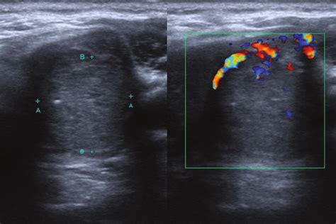
Mixed cystic and solid isoechoic thyroid nodule. .  <a href=https://cocktail-competition....Mixed cystic and solid isoechoic thyroid nodule. .  <a href=https://cocktail-competition....